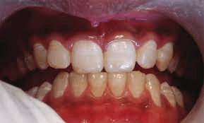
Developmental disturbance of dental enamel, caused by successive exposure to high concentrations of fluoride – 1.5 mg/l (1.5 ppm) in drinking water – during tooth development , leading to enamel with lower mineral content of increased porosity
Etiopathogenesis:
Direct inhibitory effect on enzymatic action of ameloblasts leading to defective matrix formation and subsequent hypomineralization
Clinical features:
Generalized discoloration and pits
Management: Depends on severity
- Bleaching
- Composite restorations
- Veneers
- Full crowns
Chronological hypoplasia (Linear enamel hypoplasia)
A well demarcated area of enamel hypoplasia corresponding with the period of crown formation of permanent teeth (between birth and 6 years) due to nutritional defects eg. rickets, childhood diseases etc. that may cause temporary ameloblast dysfunction



2 thoughts on “Dental fluorosis”
Comments are closed.